



2月3日,中国台湾女演员、歌手、主持人徐熙媛(大S)因病不幸离世,年仅48岁。
大S离世后,有台媒引述知情人士说法称,大S真实死因为“败血症”,并非肺炎。
看看新闻Knews采访了复旦大学附属中山医院重症医学科副主任居旻杰,他表示病毒性肺炎造成大S死亡其实也是有这种可能的。
但是大多数情况,临床碰到更多的可能由于病毒的感染导致免疫功能的下降,所引起的继发感染,细菌或者是真菌的感染以后引起的败血症,专业名称为脓毒血症或者是感染性休克。严重败血症患者可能出现休克、多器官功能衰竭,甚至是死亡。
因为她本身的基础情况就比较差。在病毒感染的基础上,如果再合并了其他的一些细菌或者那个真菌的感染,特别是肺部,那么病因的控制就比较困难。

流感高发
一家6口出游,5人感染甲流
据中国疾控中心最新数据,目前流感病毒阳性率持续上升,其中99%以上为甲流。
近日,一则#浙江一家6口出游5人感染甲流#的消息冲上热搜。

据浙大二院消息,在发热门诊里,有患者家庭一行6人出游,结果5人都感染了甲流。
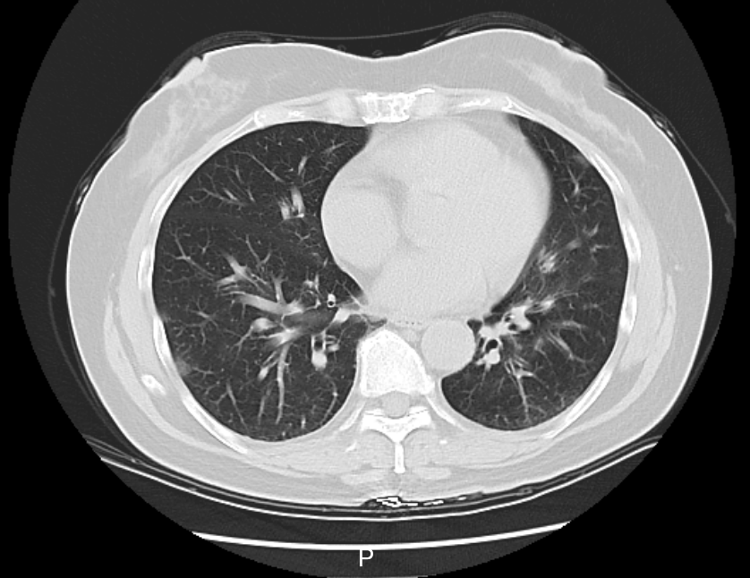
“我们一大家子一周前去旅游了,到第二天开始发热咳嗽喉咙痛,全身肌肉也连带着酸痛,体温最高的时候在39℃以上。去医院检查,说是肺炎,建议我住院。”50多岁的李阿姨(化名)拿出一张胸片报告,上面写着“左下肺炎”。
△李阿姨肺部CT影像
家中同行的6个人,有5个人都先后发烧了。检测结果显示,李阿姨得了病毒性肺炎,甲型流感病毒核酸呈阳性。经治疗,已有明显好转。
日本流感病例超950万
药品短缺 医疗机构承压
环球时报引用日本《产经新闻》2日报道称,自2024年12月下旬流感病例数创新高后,日本多地药店表示已无用于治疗感冒、发烧等疾病药品的库存。
此外,一些过于拥挤的医院也建议患者尽量回家休养,避免挤占医疗资源。

日本国立传染病研究所1月31日的数据显示,自2024年9月2日至2025年1月26日,日本国内累计流感病例预计已有约952.3万人。

1月9日,日本厚生劳动省发布的数据显示,2024年12月23日至29日,日本全国定点医疗机构报告的流感患者人数首次超过30万人关口,刷新1999年采用现行统计方法以来最高纪录。
《产经新闻》报道提到,因感染人数激增,日本全国多地感冒药、止咳药等处方药供应严重不足。
报道称,除了感染人数激增外,部分医疗机构此前过度囤购药品、多家日本药企出现造假丑闻也影响了药品供应链的稳定,造成了日本各类流感药品库存分布不均,加剧了药品短缺。

流感发病
抓住“黄金48小时”
专家提醒,流感发病的48小时被称为自救的“黄金48小时”,高危人群如果没有在48小时内使用有效的抗病毒药物,疾病可能发展成肺炎、重症等。

奥司他韦服用方法:每日两次,用药疗程5天;
玛巴洛沙韦服用方法:服用一次。
专家介绍,从缓解症状来看,两个药物是等效的,玛巴洛沙韦对降低病毒载量的速度要比奥司他韦好一些。当出现流感相关症状时,在“黄金48小时”服用抗病毒药物,能够做到自救,千万别硬扛。
此外,还有两种非甾体的退热药,对乙酰氨基酚、布洛芬,家中配备一款即可。如果发烧比较明显或引起身体不适,可以使用退热药。
福建卫生报综合此前报道、新闻坊、看看新闻Knews、浙大二院、都市时报、生命时报、凤凰网、央视新闻、环球时报等
①凡本网注明“来源:福州新闻网”的所有文字、图片和视频,版权均属福州新闻网所有,任何媒体、网站或个人未经本网协议授权不得转载、链接、转贴或以其他方式复制发表。已经被本网协议授权的媒体、网站,在下载使用时必须注明“来源:福州新闻网”,违者本网将依法追究责任。
②本网未注明“来源:福州新闻网”的文/图等稿件均为转载稿,本网转载出于传递更多信息之目的,并不意味着赞同其观点或证实其内容的真实性。如其他媒体、网站或个人从本网下载使用,必须保留本网注明的“来源”,并自负版权等法律责任。如擅自篡改为“来源:福州新闻网”,本网将依法追究责任。如对文章内容有疑议,请及时与我们联系。
③ 如本网转载涉及版权等问题,请作者在两周内速来电或来函与福州新闻网联系。