



你喜欢“掰手腕”吗?这项不少人热衷的游戏,居然会导致骨折?
据河南民生频道大参考报道,近日,河南郑州。27岁的韩女士陪朋友参加掰手腕比赛,发现还有女子组比赛,经不住朋友劝说,再加上喜欢健身,韩女士认为可以尝试一下。
没想到比赛刚开始不到半分钟,就听到“咔嚓”一声,一瞬间巨大的力导致她上臂肱骨处螺旋状骨折。

经过手术,韩女士留下一道近30CM的凸起状伤疤,极难恢复。她十分后悔:“没有经过专业训练的人,再也不要去掰手腕了!”

不仅韩女士,今年29岁的张女士也因一次掰手腕“出了问题”。
据郑州市骨科医院:前段时间,单位组织了“掰手腕”比赛,张女士一路过关斩将,进入到了决赛。张女士的决赛对手,是一个绝对的“力量型”选手。
比赛一直不分伯仲,谁也扳不倒谁。最终,不服输的张女士用尽全身的力量,大喊“一、二、三”,一下子就取得了比赛的胜利。
张女士表示:“发力的时候,我听见很明显的一声‘咔哒’,刚开始我以为是自己听错了,直到胳膊动不了了,我知道应该是自己骨折了。”张女士回想起当时骨折的一幕,仍然记忆犹新。
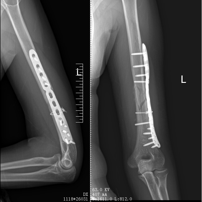
结合X光检查结果,张女士被诊断为左侧肱骨中下段骨折,左侧上臂桡神经损伤。好在后续治疗很顺利,目前张女士已经出院。

无独有偶,前段时间,16岁的小陈(化名)因为在课间和同学掰手腕,也被“掰骨折”了。
16岁的小陈,正是生长发育的“黄金阶段”,无论是从身体机能,还是肌肉力量,应该都是“很棒”的状态。
为什么就玩个掰手腕,就会骨折呢?
据郑州市骨科医院上肢骨科科普,像张女士和小陈这样的患者,医院每年都有十余例左右,大家的骨折部位都非常“雷同”。
“这与掰手腕的用力方式、受力点都有关系,如果这两个因素有一点出现问题,那就很容易造成骨折。”上肢骨科主治医师王锟说道。
其实,掰手腕是一项比拼臂力和腕力的运动。除了需要手部、腕部肌肉的力量以外,前臂屈肌、肱二头肌、肱桡肌、肱三头肌等也均会被带动。肱骨下段承受很大的旋转应力,着力点正好在中下段位置。掰手腕时,对手通过前臂施加外旋应力,自身内旋肌群施加内旋应力,两者在肱骨最薄弱处(中段圆柱体向远端三角形过渡区域)形成巨大扭转应力,易导致螺旋形骨折。
此外,骨折线经过桡神经沟,可能导致骨块移位,损伤桡神经。“现在年轻人运动量减少,加上爱喝碳酸饮料、熬夜,这些因素也会导致骨质疏松,让骨头‘变脆’,掰手腕时更容易受伤。”陈红浩解释说。

掰手腕比赛虽然是竞技比赛,但掌握不好极易造成伤害。轻者易致腕、肘、肩关节韧带肌肉损伤,重者有可能会造成肱骨中下段骨折,尤其是孩子和中青年群体。
孩子骨骼没有完全发育好,而部分中青年群体户外运动量少、爱喝碳酸饮料、经常熬夜,容易患骨质疏松,骨骼较为脆弱,在掰手腕比赛中容易因爆发力引起骨折受伤。
在此提醒大家掰手腕时注意做好防护。首先,一定要做好准备运动,活动肘关节、腕关节,让上臂、手腕适应一下牵拉时产生力量的感觉;其次,采取正确的姿势,否则会导致骨骼因受到突然过度的牵拉而出现骨折;再次,不要为了取胜而过度用力。
①凡本网注明“来源:福州新闻网”的所有文字、图片和视频,版权均属福州新闻网所有,任何媒体、网站或个人未经本网协议授权不得转载、链接、转贴或以其他方式复制发表。已经被本网协议授权的媒体、网站,在下载使用时必须注明“来源:福州新闻网”,违者本网将依法追究责任。
②本网未注明“来源:福州新闻网”的文/图等稿件均为转载稿,本网转载出于传递更多信息之目的,并不意味着赞同其观点或证实其内容的真实性。如其他媒体、网站或个人从本网下载使用,必须保留本网注明的“来源”,并自负版权等法律责任。如擅自篡改为“来源:福州新闻网”,本网将依法追究责任。如对文章内容有疑议,请及时与我们联系。
③ 如本网转载涉及版权等问题,请作者在两周内速来电或来函与福州新闻网联系。