



众所周知,热射病常发生在夏季是最严重的中暑类型,但你可能有所不知,在寒冷的冬季,同样可能得热射病!
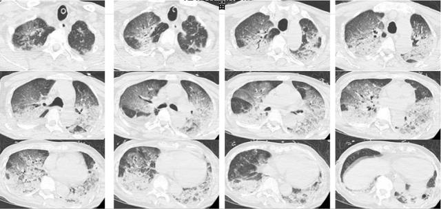
双肺全白 竟是蒸桑拿惹的祸
来自浙江杭州的韩爷爷(化名)酷爱蒸桑拿,常常一待就是一整天。
2024年12月的一天,他如往常一样在午后刚吃完饭就去了洗浴中心。不料刚进去没多久,整个人就昏了过去并口吐白沫,周围人帮忙拨打了120,将他送入医院。
接诊后,韩爷爷意识不清,血压、心率下降,医生们一度怀疑其有肺栓塞或脑梗,于是立即为他进行头颅、胸部CT和肺血管CTA检查。
可结果一出来,医生们吓了一跳,韩爷爷的双肺全白了!
医生检查后排除了他脑中风和肺栓塞的可能,那么,什么病能导致这么大面积的白肺?

经会诊,最终韩爷爷被确诊为热射病诱发的肺水肿。
什么是「热射病」?
热射病是高温相关急症中最严重的情况,即重症中暑。现场降温急救的同时要立即送医。体温越高、持续时间越长,组织损害越严重,预后也越差。可使用冰帽、冰毯,或将冰袋放置于患者颈动脉、腋动脉、股动脉等大动脉处。
冬天为什么也会得热射病?
杭州市第一人民医院呼吸内科主任医师沈凌分析,韩爷爷入院时降钙素原明显增高,而非感染性疾病导致降钙素原升高的情况有十几种,没有一种和患者的情况相符,反而患者症状与热射病症状相符。
热射病会导致降钙素原增高
主要与机体在热射病状态下出现的应激反应、炎症反应以及器官功能损伤等因素相关。
在桑拿房这种高温、高湿的环境下,人体皮肤散热困难,汗液无法正常排出。这时,体内热量大量积聚,即便在冬天,也会出现夏天时常见的热射病症状。
患有动脉硬化、糖尿病、高血压、肥胖症、高脂血症、高尿酸血症人群,以及高龄老人是高风险人群,要格外注意,谨防意外发生。
热射病为何会致双肺变白?
热射病会致患者脱水,而脱水将导致患者血压下降,还会对心肌造成损害,易出现急性心衰。
一旦心脏的泵血功能出现问题,大量血液就会淤积在肺部血管,进而引发肺水肿,本文中的韩爷爷正是因为这个原因导致肺水肿,最终双肺变白。
冬季洗澡、蒸桑拿
谨防“热休克”
冬季泡澡时,若水温过高或者浴室环境过热,会导致身体出汗过多,血管扩张,血压下降,从而引起休克。
因此,冬季洗澡需牢记:
消除环境间的温差
建议在更衣室、走廊、厕所等体感很冷的地方,安装小型取暖器,或进入浴室前提前预热身体,避免忽冷忽热导致血管收缩。
饭后、酒后不要立即洗澡
饭后,血液会聚集到消化器官用来消化食物,导致血压稍低;
酒精具有扩张血管的作用,且酒后血压会有所下降。
如饭后、酒后在超过42℃的热水中泡澡,可能会出现一时性的血压大幅上升,而血压的剧烈波动易引发热休克。因此,建议饭后一小时或酒后稍事休息再沐浴泡澡。
出现可疑症状要警惕
发生热休克的早期患者可能有头晕、胸闷、胸痛等表现,此时如果身边人能及时发现,可以最大程度减少不良预后的发生。
①凡本网注明“来源:福州新闻网”的所有文字、图片和视频,版权均属福州新闻网所有,任何媒体、网站或个人未经本网协议授权不得转载、链接、转贴或以其他方式复制发表。已经被本网协议授权的媒体、网站,在下载使用时必须注明“来源:福州新闻网”,违者本网将依法追究责任。
②本网未注明“来源:福州新闻网”的文/图等稿件均为转载稿,本网转载出于传递更多信息之目的,并不意味着赞同其观点或证实其内容的真实性。如其他媒体、网站或个人从本网下载使用,必须保留本网注明的“来源”,并自负版权等法律责任。如擅自篡改为“来源:福州新闻网”,本网将依法追究责任。如对文章内容有疑议,请及时与我们联系。
③ 如本网转载涉及版权等问题,请作者在两周内速来电或来函与福州新闻网联系。