




明天是元宵佳节,在阖家团聚共享汤圆、美食之际,餐桌上的安全隐患不容忽视。近日,福建省老年医院急诊科接诊了一位72岁的郑老先生,他在早餐食用寓意吉祥的红枣粥时,不慎被枣核卡住咽喉,经紧急内镜手术才取出两端尖锐的枣核。

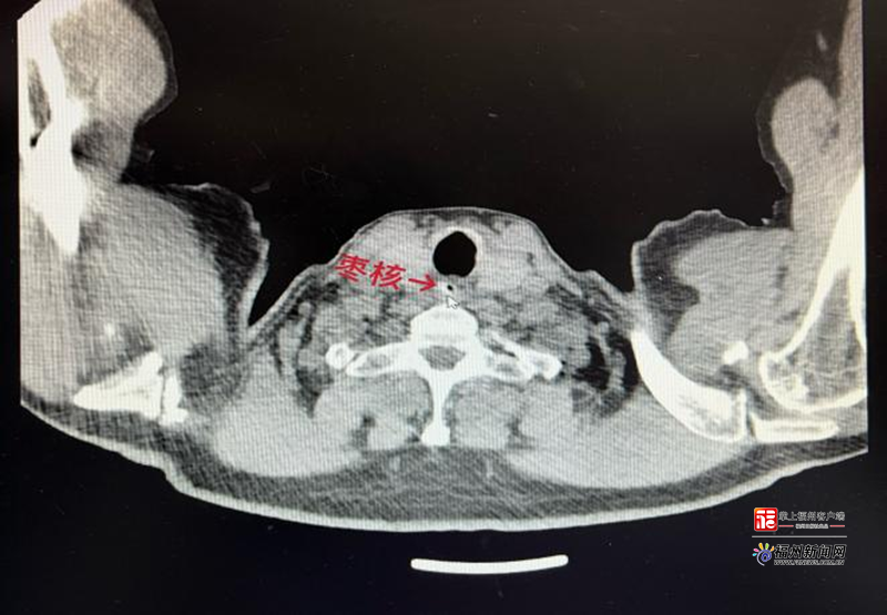
食道CT影像显示,该患者在近胸廓入口处颈胸部交界处食管偏右侧内有一大小约5mm×9mm状高低混杂密度影。(福建省老年医院 供图)
针对此案例,福建省老年医院急诊科主治医师陈锃烺发出节日提醒:大家在享受团圆美味时,务必警惕枣核、鱼刺乃至汤圆等可能带来的“甜蜜风险”。

市民选购汤圆。资料图
值得注意的是,许多人遇到异物卡喉,第一反应是使用海姆立克法,但此法并非万能。海姆立克法仅适用于清醒、1岁以上、发生重度气道异物梗阻的患者。对于已进入食道的尖锐异物(如枣核、鱼刺)或粘糯的汤圆,盲目使用海姆立克冲击,或采用吞咽饭团、喝醋等“土法”,极易导致食管划伤、穿孔,甚至引发更严重的危险。
陈锃烺提醒,元宵节饮食,需注意这些特殊风险:一是小心“藏核”的吉祥食物:如红枣、桂圆等,寓意美好但内藏硬核,建议特别是老年人与儿童食用前,最好先去核。二是细嚼慢咽吃汤圆:汤圆糯米皮粘性大,馅料可能烫口,若匆忙吞食,易引发噎呛或食道烫伤。老人、儿童尤应小口、分切、慢食。三是要专注就餐,避免说笑,节日气氛热烈,但边吃边谈笑易导致食物误入气道。
一旦怀疑异物卡住,如何应对?陈锃烺指出首先应立即停止进食,并初步判断:属于气道梗阻(无法咳嗽、呼吸困难、面色发紫)的,应立即拨打120,并对符合条件者使用海姆立克法进行急救。属于食道异物(吞咽痛、异物感、吞咽困难)的,切勿强行处理,应立即就医,通过专业医疗器械取出。
“佳节团圆,平安为先。”陈锃烺医师最后温馨提示,在享受元宵佳节温馨美满的同时,多加一份细心与预防,才能让这份团圆味更绵长、更安心。
记者:潘温祥
编辑:刘晓芳
审核:万小英 林玮佳
掌上福州客户端原创内容 转载请注明出处
①凡本网注明“来源:福州新闻网”的所有文字、图片和视频,版权均属福州新闻网所有,任何媒体、网站或个人未经本网协议授权不得转载、链接、转贴或以其他方式复制发表。已经被本网协议授权的媒体、网站,在下载使用时必须注明“来源:福州新闻网”,违者本网将依法追究责任。
②本网未注明“来源:福州新闻网”的文/图等稿件均为转载稿,本网转载出于传递更多信息之目的,并不意味着赞同其观点或证实其内容的真实性。如其他媒体、网站或个人从本网下载使用,必须保留本网注明的“来源”,并自负版权等法律责任。如擅自篡改为“来源:福州新闻网”,本网将依法追究责任。如对文章内容有疑议,请及时与我们联系。
③ 如本网转载涉及版权等问题,请作者在两周内速来电或来函与福州新闻网联系。