



炎炎夏日来临,
最近福建多地开启高温模式,
不少人过上了靠空调 “续命” 的日子。
殊不知空调也是一些病菌的温床。
近日,
47岁的陈先生(化名)
就因为吹了没清洁的空调险些丧了命!
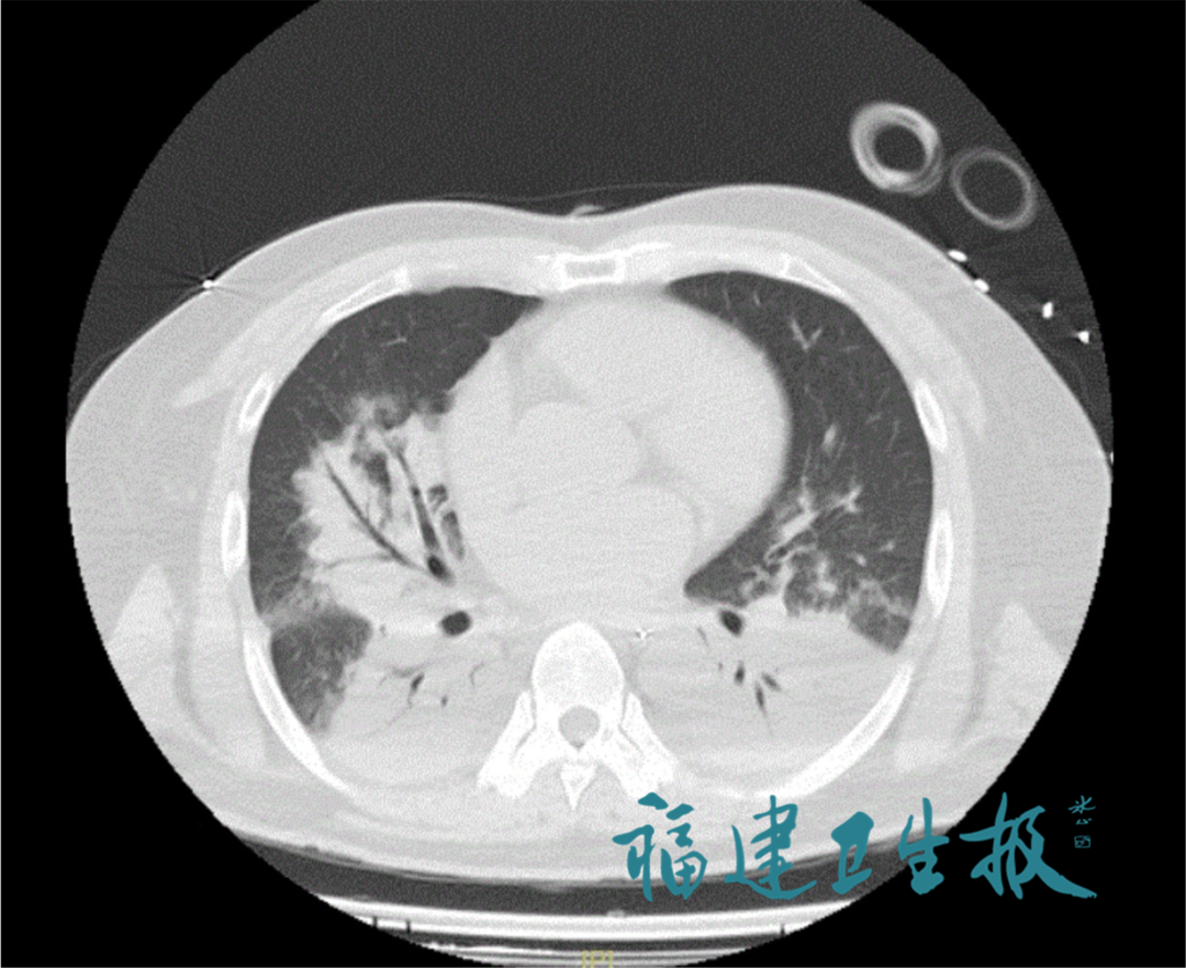
吹空调吹出“白肺”
陈先生被送福建医科大学附属第一医院急诊EICU时,已经持续高热39℃数日,且伴有剧烈咳嗽、呼吸困难等症状。
此前,当地医院检查发现,他的肺部已出现大面积“白肺”,血氧饱和度骤降至70%,生命垂危。经气管插管和呼吸机支持后,陈先生缺氧的症状有所缓解,在当地医院的建议下,立即转至附一医院。
考虑到陈先生病情危重、进展快,附一医院紧急将其转到急诊EICU治疗。从影像和症状判断,陈先生都比较符合“军团菌肺炎”。

询问病史后,医生得知陈先生最近刚使用过未清洗的空调,这正是军团菌肺炎的常见感染途径之一。不仅如此,陈先生还有10年的糖尿病史,免疫力低下,属于更容易中招的人群。最终的病原体检测结果也证实了医生的判断。
找到了病因,对症治疗就顺畅很多。经过针对性抗生素治疗和精心护理,3周后,陈先生终于战胜了这场险些夺走他生命的重症感染,康复出院。
最爱高温潮湿的环境
军团菌通过气溶胶传播吸入感染,最喜欢高温、潮湿的环境,自然水体、人工供水系统等都是其生长的温床。
日常生活中,受到军团菌污染的水可能会通过空调冷却塔、淋浴喷头、加湿器等途径传染到人体,温泉如果受到污染也可能大范围传播。另外,家用空调的过滤网也容易滋生军团菌,若清理不到位,也可能成为污染源。
糖尿病、慢阻肺、器官移植术后患者易感。此外,吸烟、酗酒、老年群体同样是高风险群体。
早期症状类似流感 病死率高
军团菌肺炎早期症状类似流感,感染者会出现高热(常超39℃)、肌肉酸痛、头痛等。快速进展为重症肺炎后,会出现呼吸困难、意识模糊、多器官衰竭(如肝肾功能异常)。
军团菌肺炎病死率可达10%-15%,但及时救治可显著改善预后。对于军团菌肺炎的治疗,时间就是生命。
但这种疾病容易被误诊,常规痰培养难以检出这一病菌,需通过尿抗原检测或支气管肺泡灌洗液NGS(二代基因测序)或定量聚合酶链反应(qPCR)、血清嗜肺军团菌的IgM特异性抗体才能确诊。因此,医生的专业判断和齐备的检查检验手段很重要。
确诊后的药物治疗首选大环内酯类、喹诺酮类,早期足量使用可降低死亡率。重症患者则需要呼吸机辅助治疗,必要时采用俯卧位通气,严重者需要使用ECMO(体外膜肺氧合)。
预防先从生活环境入手
急诊医学中心副主任医师蔡川奇提醒,军团菌预防,先从生活环境入手:
▶定期清洁空调、热水器;
▶避免室内积水:花盆托盘、加湿器水箱需每日清空晾干;
▶高危人群防护:糖尿病患者应严格控制血糖,接触可疑水源时佩戴口罩。
夏天是军团菌的高发季,若出现不明原因高热、呼吸急促,尤其合并基础疾病者,务必立即就医,并主动告知医生可能的环境暴露史,如近期使用未清洁的空调或淋浴设备等,以便医生及时准确找到病因。
①凡本网注明“来源:福州新闻网”的所有文字、图片和视频,版权均属福州新闻网所有,任何媒体、网站或个人未经本网协议授权不得转载、链接、转贴或以其他方式复制发表。已经被本网协议授权的媒体、网站,在下载使用时必须注明“来源:福州新闻网”,违者本网将依法追究责任。
②本网未注明“来源:福州新闻网”的文/图等稿件均为转载稿,本网转载出于传递更多信息之目的,并不意味着赞同其观点或证实其内容的真实性。如其他媒体、网站或个人从本网下载使用,必须保留本网注明的“来源”,并自负版权等法律责任。如擅自篡改为“来源:福州新闻网”,本网将依法追究责任。如对文章内容有疑议,请及时与我们联系。
③ 如本网转载涉及版权等问题,请作者在两周内速来电或来函与福州新闻网联系。